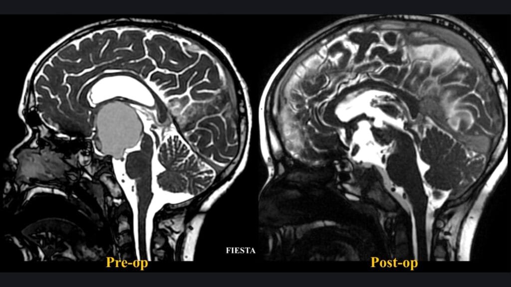
Macroadenoma hipofisario supraselar: abordaje endoscópico transplanum

El Dr. Muñoz presenta un caso de resección de un macroadenoma hipofisario supraselar mediante abordaje transplanum.
Resección microquirúrgica de un craneofaringioma retroquiasmático

El Dr. Luis Borba realiza la resección microquirúrgica de un craneofaringioma retroquiasmático mediante abordaje petroso posterior modificado
Clipaje transcavernoso de aneurisma de la ACS

Se presenta un caso de clipaje de un aneurisma de la arteria cerebelosa superior con un tratamiento previo con flow-diverter fallido.
Meningioma clinoidal

En este caso se trata un meningioma clinoidal izquierdo mediante abordaje frontotemporal órbito-cigomático.
Dehiscencia bilateral de conducto semicircular superior

El Dr. Casado realiza un abordaje de fosa media endoscópico para reparar una dehiscencia bilateral de conducto semicircular superior.
Acromegalia – Destrucción del seno cavernoso

El Dr. Juan C. Fernández-Miranda realiza la resección endoscópica endonasal de un macroadenoma hipofisario causante de acromegalia.
Resección microquirúrgica de un meningioma petroclival gigante

El Dr. Luis Borba realiza la resección completa de un meningioma petroclival gigante mediante abordaje petroso posterior.
Schwannoma vestibular de ángulo Koos IV

El Dr. Muñoz y el Dr. Orús realizan abordaje retrosigmoideo para resección de un schwannoma vestibular de ángulo Koos IV.
Meningioma clinoideo anterior con compromiso de la Arteria Carótida Interna

El Dr. Fernández-Miranda realiza la resección microquirúrgica de un meningioma clinoideo anterior con compromiso de la ACI.
Resección microquirúrgica de un meningioma del planum esfenoidal

El Dr. Almusa realiza una resección microquirúrgica de un meningioma del planum esfenoidal con extensión al canal óptico.



