ÚLTIMOS ARTÍCULOS
Blog
¡Bienvenido a nuestro blog de cirugía!. Aquí encontrarás información actualizada sobre técnicas innovadoras, procedimientos quirúrgicos de médicos internacionales y recomendaciones útiles. ¡Gracias por visitarnos!

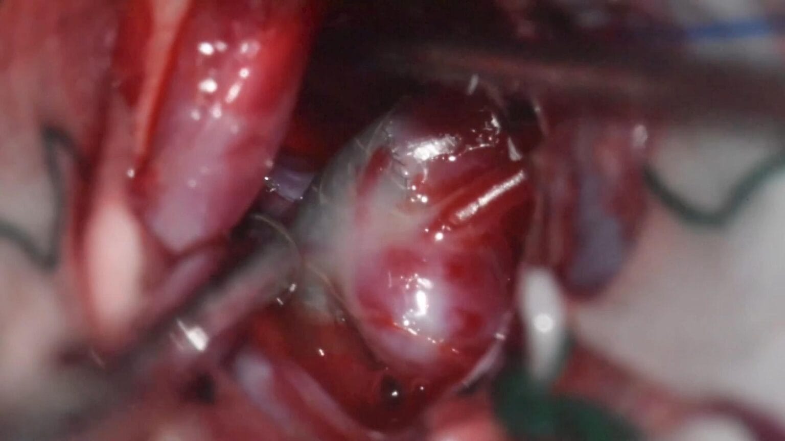
Aneurisma de la arteria hipofisaria superior – Clinoidectomía Intradural
El Dr. Javier Ibáñez realiza una clinoidectomía intradural y apertura de los anillos durales para abordar un aneurisma hipofisario superior.

Macroadenoma hipofisario supraselar: abordaje endoscópico transplanum
El Dr. Muñoz presenta un caso de resección de un macroadenoma hipofisario supraselar mediante abordaje transplanum.

Resección microquirúrgica de un craneofaringioma retroquiasmático
El Dr. Luis Borba realiza la resección microquirúrgica de un craneofaringioma retroquiasmático mediante abordaje petroso posterior modificado

Reconstrucción con prótesis de reemplazo del martillo y TORP
El Dr. Robert Vincent presenta un caso ótico complejo de reconstrucción con prótesis de reemplazo del martillo y TORP.

Clipaje transcavernoso de aneurisma de la ACS
Se presenta un caso de clipaje de un aneurisma de la arteria cerebelosa superior con un tratamiento previo con flow-diverter fallido.

Estapedectomías clásicas 2, por el Dr. Emilio García-Ibáñez
El Dr. García-Ibáñez presenta 3 casos de estapedectomía, mostrando técnicas de fenestración, descompresión, injerto y colocación protésica.

Reparación de perforación septal con colgajo de arteria etmoidal anterior
El Dr. Nazar realiza la reparación de una perforación septal de 3cm mediante un colgajo pediculado irrigado por la arteria etmoidal anterior.

Meningioma clinoidal
En este caso se trata un meningioma clinoidal izquierdo mediante abordaje frontotemporal órbito-cigomático.

Dehiscencia bilateral de conducto semicircular superior
El Dr. Casado realiza un abordaje de fosa media endoscópico para reparar una dehiscencia bilateral de conducto semicircular superior.

Implante de conducción ósea transcutáneo activo Sentio
Presentamos una paciente con atresia congénita bilateral de conducto auditivo externo, que quiere mejorar su audición con un implante Sentio.
prueba surgschool
¡Descarga la app!
Únete a nuestra comunidad global de médicos y accede a cirugías exclusivas narradas por expertos internacionales, desde tu smartphone o tablet. Donde y cuando quieras.




