Una cirugía del Dr. Luis Borba
El craneofaringioma retroquiasmático representa uno de los retos más complejos de la cirugía de base de cráneo. Su íntima relación con el quiasma óptico, el hipotálamo, las perforantes de la circulación anterior y estructuras profundas del tercer ventrículo exige una planificación rigurosa y un abordaje que maximice la visualización sin comprometer estructuras críticas. En esta cirugía magistral, disponible en exclusiva en la app SurgSchool, el Dr. Luis Borba, Presidente-Electo de la World Federation of Neurosurgical Societies (WFNS), demuestra una resección microquirúrgica completa de un craneofaringioma retroquiasmático mediante un abordaje petroso posterior modificado, alternativa estratégica para tumores con proyección retroquiasmática y extensión supraselar posterior.
Presentación clínica y estudios preoperatorios
El paciente, un niño de nueve años, presentaba un año de cefalea progresiva, seguido de náuseas, vómitos y diplopía. En el ingreso mostró confusión y somnolencia, condicionadas por un hidrocefalia obstructiva, que requirió colocación urgente de una derivación ventrículo-peritoneal.
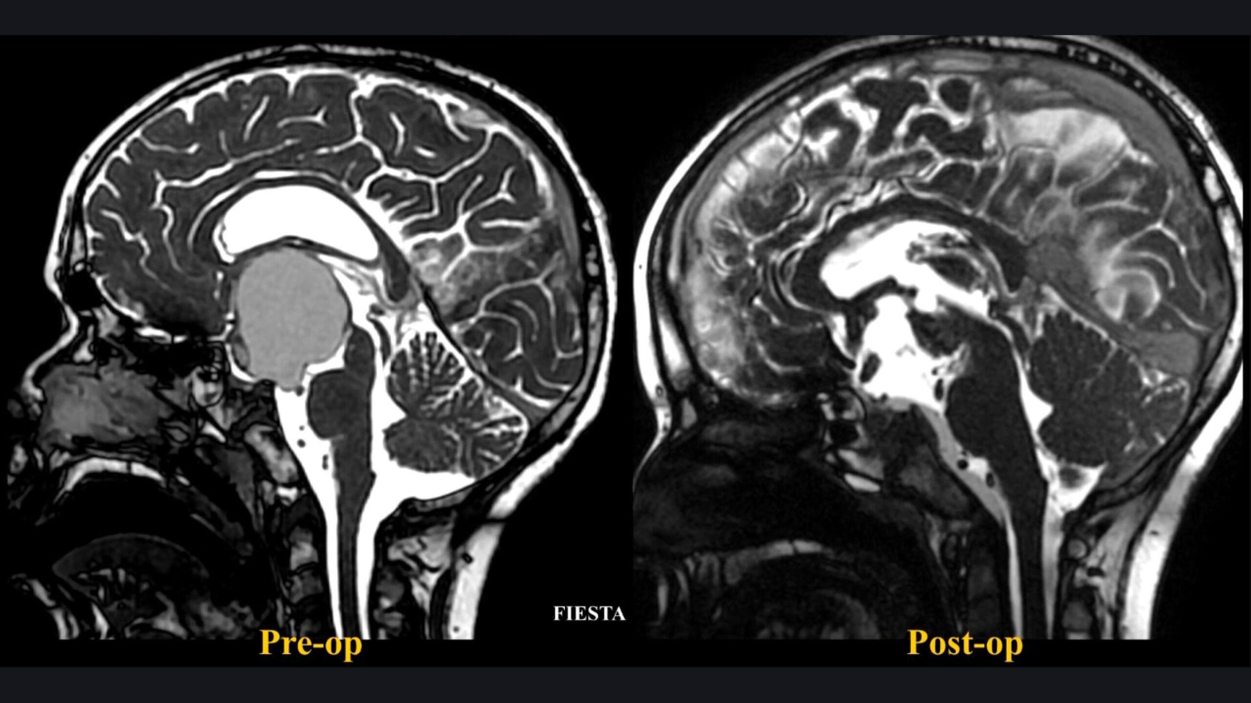
La resonancia magnética evidenció una masa sólido-quística de 4,5 × 3,6 × 3,3 cm, con marcada extensión supraselar, obliteración del tercer ventrículo y proyección hacia las cisternas interpeduncular y prepontina. El nódulo mural reforzaba heterogéneamente, con calcificaciones visibles en la tomografía. El patrón vascular mostraba una arteria cerebral posterior fetal derecha y arterias cerebrales anteriores no desplazadas superiormente, hallazgo clave que confirma un origen retrochiasmático.
Selección del abordaje: por qué un petroso posterior modificado
El Dr. Borba descarta:
- Vía transcallosa, por el riesgo de lesión hipotalámica al acceder a un tumor con marcada proyección superior.
- Abordajes subfrontal y pterional, insuficientes al tratarse de una lesión situada más posterior que lo habitual.
- Vía endonasal endoscópica, potencialmente útil pero limitada por la extensión superior y lateral, la relación con perforantes y la posible imposibilidad de maniobras como transposición hipofisaria o sección del tallo.
El abordaje petroso posterior modificado proporciona:
- Una visión directa del componente retroquiasmático.
- Múltiples ángulos de trabajo hacia el interpedúnculo y el tercer ventrículo.
- Menor riesgo de tracción sobre el quiasma y el hipotálamo.
- Acceso seguro para preservar perforantes provenientes de la circulación anterior.
Apertura ósea y exposición
Tras posicionar al paciente en decúbito supino con rotación cefálica contralateral, se realiza incisión arciforme y disección de fascia y músculo temporal. Siguiendo la práctica del Dr. Borba, la cirugía inicia con mastoidectomía, identificando el seno sigmoideo y permitiendo una movilización limitada del mismo.
Se procede a:
- Doble incisión dural (temporal basal y presigmoidea).
- Coagulación y sección del seno petroso superior.
- Sección completa del tentorio hasta la incisura, con identificación obligatoria del IV par craneal antes del corte final.
Este paso crea un corredor presigmoideo ampliado, con acceso combinado infra- y supratentorial.
Resección tumoral: disección circunferencial y preservación de planos aracnoideos
El abordaje permite exponer la pared posterior del quiste, que se drena inicialmente para reducir la tensión. Posteriormente, el Dr. Borba realiza una disección microquirúrgica circunferencial de la cápsula, preservando sistemáticamente los planos aracnoideos, clave para evitar lesión hipotalámica y daño vascular.
Durante la resección:
- Se identifican y protegen perforantes de la arteria carótida y de la circulación anterior.
- Se disecan con precisión las proyecciones inferior, anterior y superior.
- Se separa la cápsula del suelo del tercer ventrículo, preservándolo por completo.
Gracias a la descompresión inicial y a la calidad del corredor, se logra una resección en bloque del tumor, incluyendo la cápsula completa.
Visualización endoscópica y verificación final
El Dr. Borba utiliza un endoscopio para inspeccionar:
- Cavidad quirúrgica.
- Quiasma, nervios ópticos y tractos ópticos.
- Arterias cerebrales posteriores y perforantes.
- III y IV pares craneales.
La revisión confirma ausencia de tumor residual.
Cierre y evolución postoperatoria
La reconstrucción se realiza con técnicas propias de cirugía de base de cráneo, priorizando la estanqueidad y la separación de compartimentos.
El postoperatorio muestra:
- Resección completa en neuroimagen.
- Ausencia de déficit neurológicos.
- Diabetes insípida trifásica transitoria con resolución progresiva.
- Hipotiroidismo e hipocortisolismo tratados adecuadamente, con sospecha de déficit de GH en seguimiento.
Por qué esta cirugía es una referencia en SurgSchool
Este caso de un craneofaringioma retroquiasmático ofrece un aprendizaje excepcional para neurocirujanos de base de cráneo y neuro-oncología:
- Selección racional del abordaje petroso posterior.
- Manejo de craneofaringiomas retroquiasmáticos complejos.
- Técnicas avanzadas de disección circunferencial preservando planos aracnoideos.
- Protección de perforantes y análisis anatómico tridimensional.
- Cirugía pediátrica en territorios profundos con control endocrinológico postoperatorio.
Accede al vídeo completo en SurgSchool
La cirugía completa, narrada y subtitulada en español e inglés, está disponible en exclusiva en la app de formación quirúrgica SurgSchool.




